samyakclinic.com
S a m y a k C l i n i c

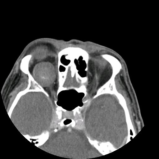
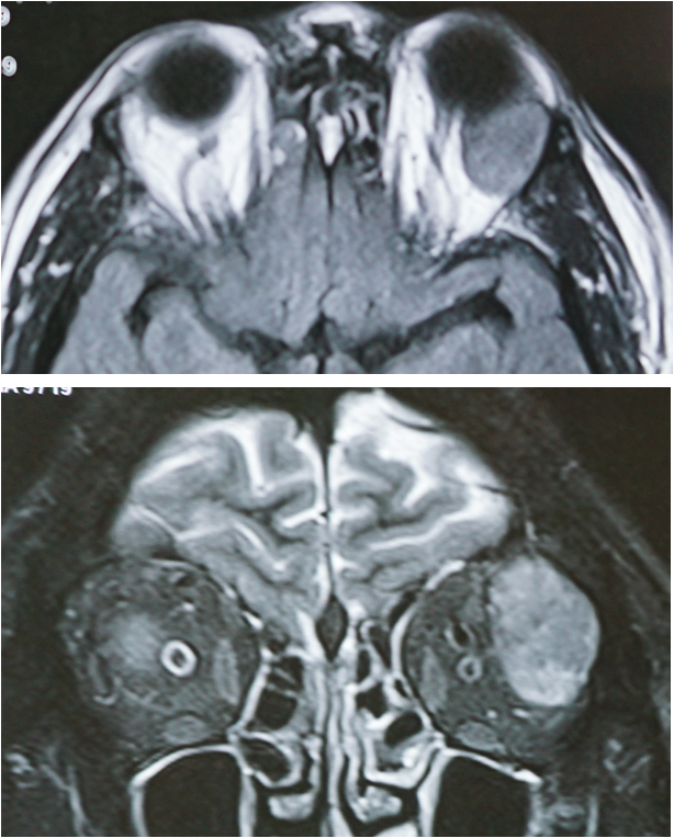
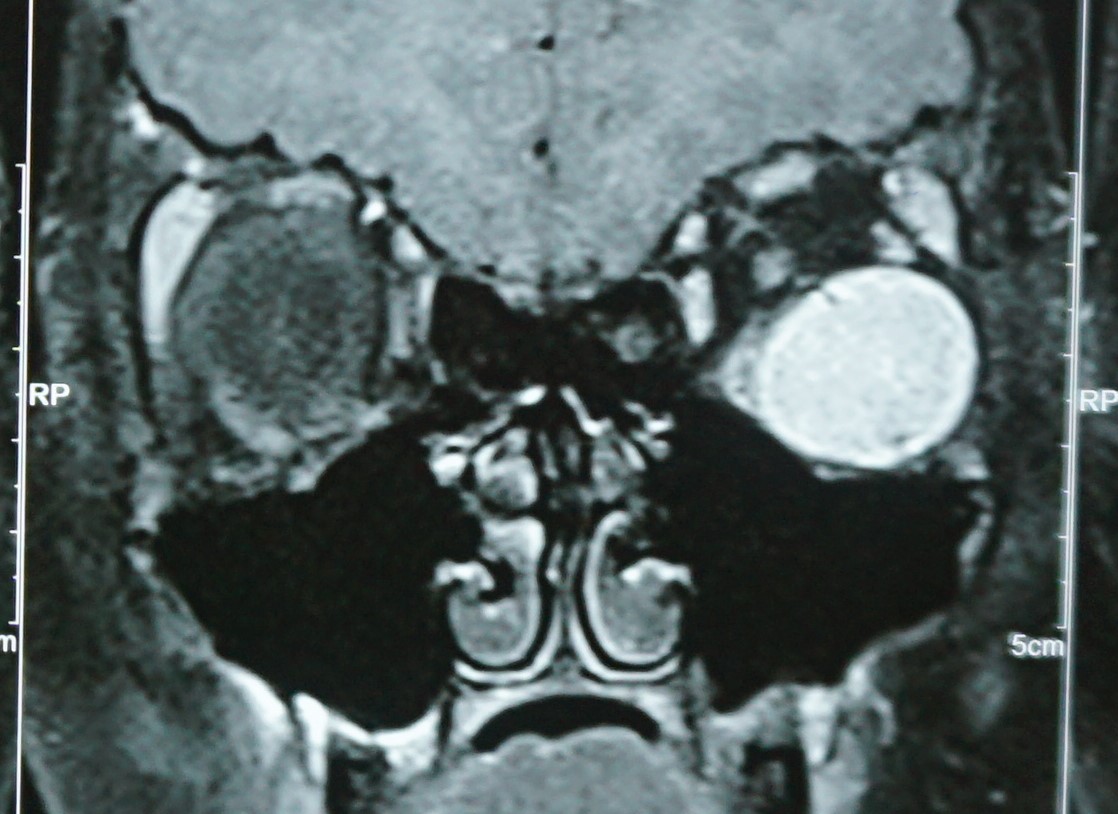
ORBITAL SURGERY

ORBITAL SURGERY

What is this condition?
Diseases involving the eye socket.

Causes

  • Thyroid disease
  • Tumors
  • Trauma
  • Infection

When is treatment needed?

  • Vision threat
  • Pain or swelling

Treatment

  • Medical and surgical management

Outcomes

  • Vision preservation
  • Functional recovery

You Have Any Question?

Your email address will not be published.